
R&D at Katana Labs
Katana Labs’ R&D is focused on building an AI-driven platform for cancer histopathology and spatial biology that makes tissue analysis faster, more scalable, and more clinically actionable across clinical R&D, translational research, and drug/biomarker development. Across its projects, the company combines trustworthy AI, multimodal image analysis, workflow automation, and agnostic hardware-software solutions to expand from digital pathology interpretation and spatial omics tissue profiling toward end-to-end, real-world analysis workflows, including intraoperative decision support. At the same time, Katana Labs is strengthening the organizational and product foundations needed to translate these innovations into robust, and commercially scalable solutions for pathology, biotech, pharma, and research markets.
An AI Platform for Cancer Histopathology


This project focuses on broadening Katana Labs AI platform from its initial ISH-based applications into a more comprehensive AI solution for histopathology across multiple cancer types and assay modalities. The core objective is to diversify the platform with new apps for key diagnostic workflows in breast, prostate, and lung cancer, as well as for multiplex immunofluorescence in spatial biology, by building the required data pipelines, annotations, model training, and validation processes.
At a high level, the initiative strengthens the AI platform value for both pathology and translational R&D by creating a scalable framework for data-driven product development in digital pathology. It also establishes the operational foundations needed for long-term expansion, including quality-controlled data curation, regulatory-ready workflows, and repeatable model development standards. Overall, the project paves the way for growing the AI platform to improve efficiency, support more precise cancer analysis, and extend Katana Labs’ reach across clinical R&D, biotech, pharma, and research markets.
The project is financially supported by the Sächsiche Aufbaubank (SAB) via the InnoAssistant chapter.
Building the Innovation Engine Behind Katana Edge


This project is focused on establishing a structured innovation management function at Katana Labs to support the transition from a technology-driven startup to a scalable, market-oriented company.
At its core, the initiative creates the organizational framework needed to connect strategy, product development, customer feedback, and business development more systematically around the Edge platform for digital pathology and spatial biology.
The role of the innovation manager is designed to accelerate innovation cycles, improve product-market fit, professionalize internal processes, and prepare the company for broader market entry across clinical pathology, biotech, and pharma. In this sense, the document is less about developing a single technical feature and more about building the operating model required for sustainable growth, international competitiveness, and repeatable commercialization. Overall, it positions innovation management as a strategic enabler for turning Katana Labs’ AI platform into a more scalable, globally relevant business in cancer diagnostics and translational R&D.
The project is financially supported by the Sächsiche Aufbaubank (SAB) via the InnoManager chapter.
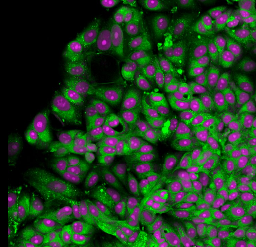
Building Trustworthy AI for Histopathology


The trustPAIKON project focuses on making AI-assisted histopathology more trustworthy by integrating uncertainty estimation into Katana Labs’ digital pathology platform. It addresses a critical barrier to clinical adoption of AI in cancer analysis: while AI can automate tissue analysis at scale, pathologists also need transparency into how reliable each prediction is before they can confidently use it in routine practice.
Together with Helmholtz-Zentrum Dresden-Rossendorf (HZDR), Katana Labs is developing methods to quantify, evaluate, and visualize uncertainty in deep-learning-based instance segmentation, with a strong emphasis on robustness, interpretability, and computational efficiency. The project combines method development, large-scale validation, and product integration to bring these capabilities into a cloud-based workflow for AI model improvement through active learning. At a high level, trustPAIKON advances Katana Labs’ R&D mission by turning high-performance image analysis into more transparent, explainable, and clinically actionable AI for cancer tissue analysis and spatial biology.
The project is financially supported by the Sächsiche Aufbaubank (SAB) via the InnoTeams chapter.
Advancing AI-Guided Intraoperative Cancer Diagnostics


KURE is a collaborative R&D project focused on enabling faster, more precise intraoperative diagnosis of malignant genitourinary diseases by combining stimulated Raman microscopy with AI-based image analysis.
The aim is to generate clinically useful molecular and morphological information directly during surgery, reducing reliance on slower conventional pathology workflows and supporting real-time decision-making in the operating room.
Within the consortium, Katana Labs contributes the AI and cloud software layer by developing models that identify diagnostically relevant tissue regions and classify tumor types from hyperspectral Raman data. At a high level, the project brings together hardware innovation, machine learning, pathology, surgery, and user-centered design to create a new diagnostic workflow for kidney and testicular tumors.
Overall, KURE reflects Katana Labs’ broader R&D strategy of translating advanced multimodal imaging and AI into practical tools that improve surgical precision, accelerate diagnostics, and expand the role of computational pathology in oncology.
Project partners: Refined Laser Systems (RLS) and University Hospital Dresden (UKD)
The project is financially supported by the Federal Ministry of Research, Technology and Space via the KIOn chapter.
Toward an Integrated AI-Enabled FISH/mIF Workflow


This feasibility study explores the development of SCancerAI, an integrated system that combines fluorescence scanning hardware with Katana Labs’ AI platform to automate gene-based histopathological diagnostics.
The central idea is to move beyond image interpretation alone and create a standardized end-to-end workflow in which tissue slides are scanned and analyzed in a coordinated way, reducing variability, manual effort, and turnaround time in FISH- and mIF-based cancer analysis.
For Katana Labs, the project represents an important R&D step toward tightly coupling scanner technology with AI-based image analysis so that both hardware and software are optimized for one another. At a strategic level, the study evaluates the technical, regulatory, and commercial feasibility of extending the Katana Edge platform into a more complete analyis solution rather than a standalone analysis layer.
Overall, SCancerAI as a pathway toward more automated, reliable, and scalable molecular mIF workflows in oncology.
The project is financially supported by the Federal Ministry for Economic Affairs and Energy via the ZIM chapter.